
Стоматология PerfectSmile
Скажите, что вы узнали о клинике на портале
Startsmile.
-
АдресСанкт-Петербург, ул. Чайковского, д. 25
-
Режим работы
-
Пн-Сб09:00 - 21:00
-
ВсВыходной
-
-
Официальный сайтСайт клиники
-
Клиника в социальных сетях
Клиника комплексной стоматологии PerfectSmile — фото
Врачи клиники
-
Бахмудов Надир РабадановичЭндодонт, Терапевт -
Пономарев Олег ЮрьевичХирург, Пародонтолог, Имплантолог -
Семенцова Дарья ИгоревнаОртодонт -
Смирнова Диана ТемуровнаОртопед, Гнатолог -
Соловьева Марьяна ОлеговнаЭндодонт, Пародонтолог, Детский стоматолог -
Усов Дмитрий ЕвгеньевичХирург -
Липартелиани Мария ГурамиевнаГигиенист
Работы
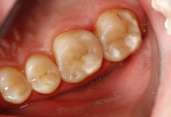
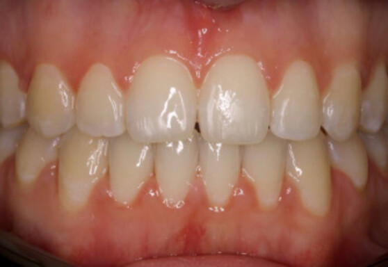
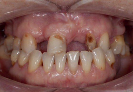
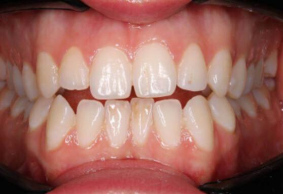
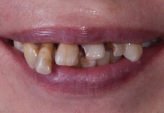
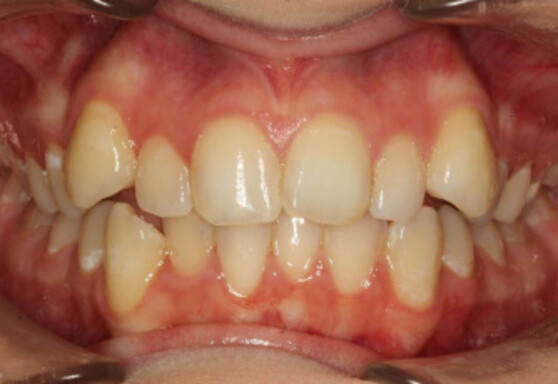
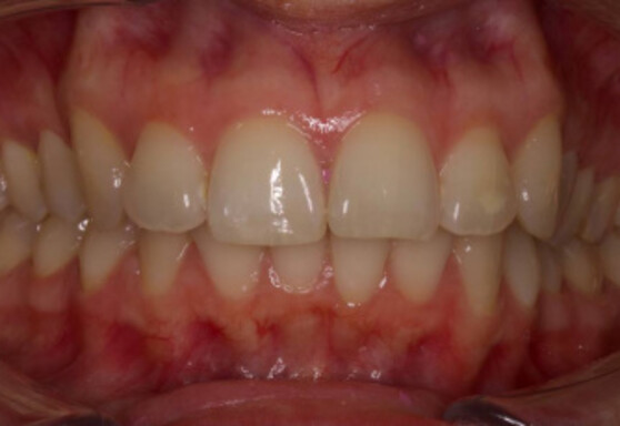
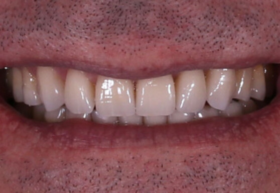
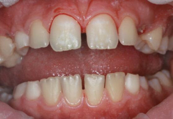
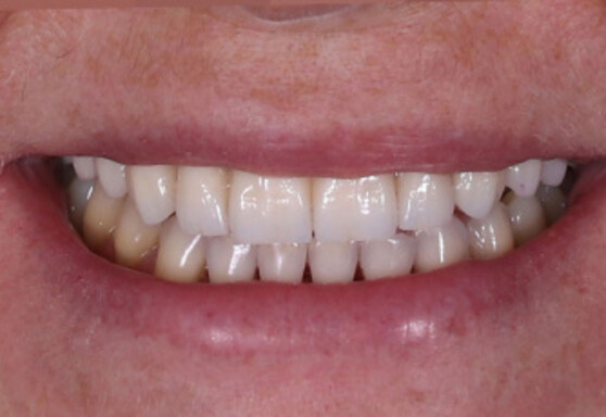
Клинический случай №1
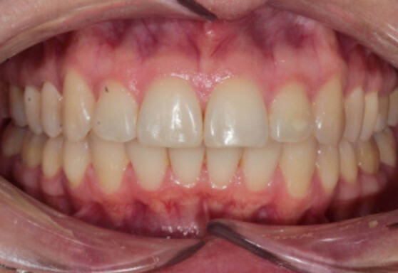
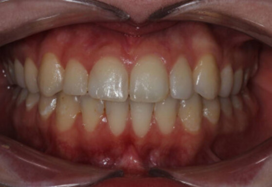
Клинический случай №2
Клинический случай №3
Клинический случай №4
Клинический случай №5
Клинический случай №6
Клинический случай №7
Клинический случай №8
Видео-отзывы
Когда улыбка — не просто про зубы, а про внутреннюю свободу
12 Июля 2025
Цены на услуги
Прайс-лист обновлен 10.04.2026
-
Детскаяот 3 000 р.
-
Диагностикаот 1 900 р.
-
Имплантацияот 55 000 р.
-
Лечение зубовот 9 500 р.
-
Ортодонтияот 51 500 р.
-
Пародонтологияот 7 500 р.
-
Протезированиеот 62 000 р.
-
Профгигиенаот 9 000 р.
-
Хирургияот 4 500 р.
-
Эстетикаот 23 600 р.
Лицензии и сертификаты
5.0
12